

|
|
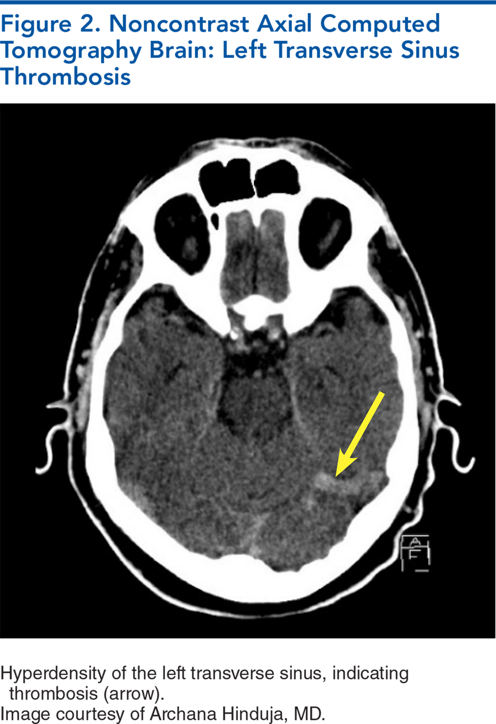
Cerebral venous sinus thrombosis is a rare cause of stroke with an overall good prognosis. It predominantly affects women of reproductive age and patients with prothrombotic conditions. It has a diverse presentation that includes headache, seizures, focal neurological deficits, and encephalopathy. A strong index of suspicion is required to make a prompt diagnosis and initiate early management. Despite aggressive care, death or functional dependence occurs in 10% to 15% of patients. This review provides an overview of the literature and recent guidelines on the emergency department approach and the therapeutic challenges in the management of patients with cerebral venous sinus thrombosis.
Her typical migraines have been in the left and right temporal regions, but she reports that this one is different, with a global, aching sensation that is worse when lying down. She denies photophobia. Her temperature is 37°C; heart rate, 64 beats/min; blood pressure, 116/80 mm Hg; and respiratory rate, 20 breaths/min. She is taking oral contraceptive pills. What is your next diagnostic step for this patient?
Two days ago, she was evaluated at another ED for this headache, for which she received diphenhydramine. She had relief of her symptoms for a few hours, but then her symptoms recurred. Given her medical conditions, what next steps should you take?
Her temperature is 37°C; heart rate, 56 beats/min; blood pressure, 190/98 mm Hg; and respiratory rate, 24 breaths/min. She is obtunded, not following commands, has a left-gaze preference, and withdraws to pain in all extremities. You suspect the patient has an acute stroke. What are your management priorities for this patient?
How would you manage these patients? Subscribe for evidence-based best practices and to discover the outcomes.

Subscribe to access the complete Clinical Pathway to guide your clinical decision making.

Subscribe for full access to all Tables and Figures.
Buy this issue and
Following are the most informative references cited in this paper, as determined by the authors.
2. * Saposnik G, Bushnell C, Coutinho JM, et al. Diagnosis and management of cerebral venous thrombosis: a scientific statement from the American Heart Association. Stroke. 2024;55(3):e77-e90. (Guide-lines) DOI: 10.1161/STR.0000000000000456
3. * Saposnik G, Barinagarrementeria F, Brown RD Jr, et al. Diagnosis and management of cerebral venous thrombosis: a statement for healthcare professionals from the American Heart Association/American Stroke Association. Stroke. 2011;42(4):1158-1192. (Guidelines) DOI: 10.1161/STR.0b013e31820a8364
6. * Stam J, De Bruijn SF, DeVeber G. Anticoagulation for cerebral sinus thrombosis. Cochrane Database Syst Rev. 2002(4):CD002005. (Cochrane review) DOI: 10.1002/14651858.CD002005
7. * Coutinho J, de Bruijn SF, Deveber G, et al. Anticoagulation for cerebral venous sinus thrombosis. Cochrane Database Syst Rev. 2011;2011(8):CD002005. (Cochrane review) DOI: 10.1002/14651858.CD002005.pub2
8. * Ciccone A, Canhao P, Falcao F, et al. Thrombolysis for cerebral vein and dural sinus thrombosis. Cochrane Database Syst Rev. 2004;2004(1):CD003693. (Cochrane review) DOI: 10.1002/14651858.CD003693.pub2
16. * Ferro JM, Canhao P, Stam J, et al. Prognosis of cerebral vein and dural sinus thrombosis: results of the International Study on Cerebral Vein and Dural Sinus Thrombosis (ISCVT). Stroke. 2004;35(3):664-670. (Prospective multicenter; 624 patients) DOI: 10.1161/01.STR.0000117571.76197.26
62. * Field TS, Dizonno V, Almekhlafi MA, et al. Study of rivaroxaban for cerebral venous thrombosis: a randomized controlled feasibility trial comparing anticoagulation with rivaroxaban to standard-of-care in symptomatic cerebral venous thrombosis. Stroke. 2023;54(11):2724-2736. (Prospective randomized trial; 55 patients) DOI: 10.1161/STROKEAHA.123.044113
63. * Ferro JM, Coutinho JM, Dentali F, et al. Safety and efficacy of dabigatran etexilate vs dose-adjusted warfarin in patients with cerebral venous thrombosis: a randomized clinical trial. JAMA Neurol. 2019;76(12):1457-1465. (Prospective randomized trial; 120 patients) DOI: 10.1001/jamaneurol.2019.2764
64. * Coutinho JM, Zuurbier SM, Bousser MG, et al. Effect of endovascular treatment with medical management vs standard care on severe cerebral venous thrombosis: the TO-ACT randomized clinical trial. JAMA Neurol. 2020;77(8):966-973. (Prospective randomized trial; 67 patients) DOI: 10.1001/jamaneurol.2020.1022
Subscribe to get the full list of 116 references and see how the authors distilled all of the evidence into a concise, clinically relevant, practical resource.
Keywords: thrombosis; headache; venous; contraceptive; CT venography; MR venography; anticoagulation; heparin; endovascular; pregnancy
Archana Hinduja, MD
Ryan Hakimi, DO, MS, NVS, CPB, RPNI, FNCS, FCCM, FAAN; Matthew Skwiot, MD
October 1, 2025
October 1, 2028   CME Information
4 AMA PRA Category 1 Credits™, 4 AOA Category 2-B Credits. Specialty CME Credits: Included as part of the 4 credits, this CME activity is eligible for 4 Stroke credits, subject to your state and institutional approval.