Bedside ocular ultrasound has been used by emergency clinicians to detect various disorders within the eye as well as a tool to screen for increased intracranial pressure.
Ocular Disorders
Approximately 2 million people present each year to the ED with ocular injuries.100 In a busy setting, delays in obtaining CT or MRI imaging or ophthalmologic consultation can become significant. In addition, in many cases of acute ocular injuries, physical examination can be challenging and quite limited. The ability to rapidly assess the eye with a noninvasive bedside examination performed in the ED can help diagnose and expedite the work-up for potentially visionthreatening conditions.
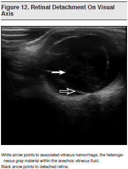
Since the anterior and posterior chambers of the eye contain vitreous fluid, the eye is an ideal acoustic window for ultrasound imaging. Moreover, the contralateral eye can serve as a normal control for the symptomatic eye. Structures such as the anterior chamber, lens, posterior chamber, retina, and optic nerve can all be visualized. As such, conditions such as retinal detachment, vitreous hemorrhage, ocular foreign bodies, lens dislocation, retrobulbar hematoma, and globe rupture can be detected on BUS. (See Figure 12.) Because of the dynamic nature of ultrasound imaging, extraocular eye movements and pupillary response can also be visualized on ultrasound, even when swollen lids prevent direct visualization.101

Although ophthalmologists have been using ocular ultrasound for decades, emergency clinicians have only recently begun to incorporate this tool into their practice.102,103 The current technique involves the high-frequency linear-array transducer (7.5-10 MHz), which is the same probe used for ultrasound-guided vascular access or soft tissue ultrasound. In the largest study of bedside ocular ultrasound performed by emergency physicians, Blavais et al evaluated 61 patients who presented to the ED with a history of eye trauma or an acute change in vision.104 The study physicians included residents and attending emergency physicians who received a 1-hour lecture and 1 hour of hands-on instruction by an ultrasoundfellowship- trained emergency physician. Of the 61 total patients, 26 (43%) were found to have intraocular disorders on BUS. The findings included 9 retinal detachments, 5 vitreous hemorrhages, 3 globe ruptures, 2 lens dislocations, and 1 central retinal artery occlusion. Other findings included papilledema and intraocular foreign body. Ultrasound examinations were followed by either orbital CT or formal ophthalmologic evaluation and were in agreement with the confirmatory studies in 60 out of 61 cases, with a resulting sensitivity of 100% and specificity of 97%. This descriptive feasibility study demonstrated that emergency physicians could accurately detect intraocular disorders using BUS.
Other small studies have described the use of ocular ultrasound in penetrating ocular injuries, to detect intraocular foreign bodies in a porcine eye model, and even aboard the International Space Station.105-107 There have been no further large studies, however, to confirm these initial results.
Screening For Increased Intracranial Pressure
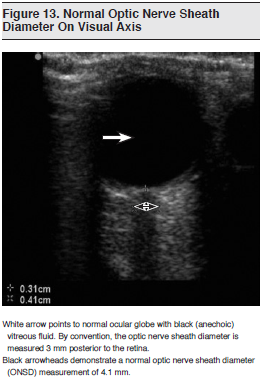
There is a growing body of literature describing the use of ocular ultrasound as a noninvasive method to detect elevated intracranial pressures (ICP). Increased ICP is transmitted through the subarachnoid space surrounding the optic nerve, causing expansion of the optic nerve sheath. The optic nerve sheath diameter (ONSD) can be measured on ultrasound using either the visual axis (probe placed directly over the closed eyelid in transverse orientation) or the coronal axis (probe placed temporally and directed nasally).108 (See Figure 13.) The approach most widely used is the visual axis, which measures the diameter of the optic nerve sheath at a point 3 mm posterior to the globe.109 Unlike most BUS examinations, which are adept at “ruling in” pathology, the current literature suggests that an ONSD of less than 5 mm may have excellent specificity for “ruling out” elevated ICP.

In an observational study involving 59 adult patients with head injury in the ED, Tayal et al measured ONSD using ultrasound and compared the results with CT findings suggestive of increased ICP.109 The finding of an ONSD greater than 5 mm on BUS had a sensitivity of 100% and a specificity of 63%, with a negative predictive value of 100% for the increased ICP noted on CT.
Using direct measurements of increased ICP by means of ventriculostomy (serving as the gold standard), 3 recent studies with slightly different protocols further characterized the direct correlation between ONSD and ICP with slightly varied results. The conclusion from these studies is that ONSD has a strong statistical correlation with ICP but that exact ICP prediction based on ONSD remains difficult and further studies evaluating different techniques are required. Ultrasound will not replace the need for invasive intracranial monitoring, but it can be used as a helpful bedside screening tool. A useful approach to assessing ICP is ONSD < 5 mm, no elevated ICP; ONSD > 6 mm, elevated ICP likely; ONSD = 5 to 6 mm, elevated ICP indeterminate/possible.
Conclusions
Bedside ocular ultrasound is a relatively new modality and shows promise both in diagnosing a wide range of ocular disorders and as a screening tool for elevated ICP.
James Q. Hwang; Heidi Harbison Kimberly; Andrew S. Liteplo; Dana Sajed
March 2, 2011
Emergency Department Infections In The Era Of Community-Acquired MRSA
Symptomatic Hypotension: ED Stabilization And The Emerging Role Of Sonography
Use Of Bedside Ultrasound In The Pediatric Emergency Department
Imaging In The Adult Patient With Nontraumatic Abdominal Pain
Deep Venous Thrombosis Identifying The Killer Before It Strikes
Blunt Abdominal Trauma: Priorities, Procedures, And Pragmatic Thinking